什么是平足有什么影响(什么是平足症?怎么办?)
足弓是人类脚的重要结构。有了足弓,使足富有弹性。即可吸收地面对脚的冲击力量,又可锁定中足关节,使脚变得坚硬,更好地推动人体活动。扁平足(平足)指的是正常足弓的缺失,或称为足弓塌陷。值得注意的是,平足不等于平足症,也不是所有的平足都需要治疗。如果平足者合并有疼痛等症状时,就被称为平足症,则需要治疗。很多平足者特别是儿童平足没有症状,也不需要治疗,只需要在鞋底放置定制鞋垫即可!可以预防足部骨骼结构进一步变化以及因为身体力线改变导致的膝,髋,腰部并发症。只有部分儿童平足可能会逐渐引起整个身体体态的变化,有一部分平足合并足部骨结构异常,如垂直距骨、倾斜距骨,跗骨联合等。在成人平足中,50岁以上的女性较多。可复性平足或柔性平足尽量在鞋底放置定制的足弓垫防止进一步加重。僵硬性平足难以治疗。

平足症是怎么形成的?
平足可以是先天的,也可以是后天获得的。儿童的足弓常常在4~6岁形成,大部分儿童及青少年平足是先天性的。成人平足可以是儿童平足的延续,也可能是其他原因继发引起,导致足弓塌陷造成的。有症状的成年人继发性扁平足称为成人获得性平足症。引起继发性足弓塌陷的原因有很多如关节退变、创伤、糖尿病、类风湿关节炎、神经性病变、肿瘤、胫后肌腱功能不全等。

足弓塌陷可引起下述足的结构改变:①跟腱挛缩;②中足的松弛。③前足移位④足内侧韧带的损伤;⑤距下关节旋前,跟骨外翻;⑥中足的不稳定使距下关节和距舟关节长时间处于异常位置,久而久之,这些关节发生退变,成为固定性畸形。这样会使踝关节承受更大的应力,最后导致踝关节退变。上述病理改变体现在临床上可表现为:

一、疼痛
通常位于足底内侧(后足后内侧疼痛),且于长期站立或行走后加剧,且常可以出现进行性加重的现象。偶尔疼痛也可位于踝关节外侧外踝附近。这是由于足弓塌陷造成后足外翻,继而腓骨与跟骨相撞击的结果。
二、肿胀
疼痛关节外肿胀,以足舟骨结节处为甚。
三、步态异常
患足疼痛及足弓塌陷可造成跑步甚至行走能力下降,步态异常,如外八字步态。
四、继发改变
可对身体的其他关节造成影响,如因患足的过度外翻及内旋,造成膝关节代偿性外翻及髋关节代偿性外旋等,继而可能引发膝、髋、下背等部位的疼痛和关节炎。个别平足的患者可能以下背痛为惟一的症状。
五、严重的扁平足
可见足踝部其他关节受累,如距下关节和跗横关节的柔韧性降低甚至僵硬。

六、其他伴发症状
可同时伴发有跖筋膜炎、跗骨窦综合征等。
怀疑患有平足症需要做什么检查:
体格检查最重要,注意站立状态下足纵弓的形态。足部结构可能在坐位时表现为正常,但在站立受力后即发生明显的改变。从后方检查,可见受累的后足一般呈外翻。
辅助检查方法主要是X线检查!
如何判断是否患有平足症呢?
①有先天性足骨排列异常或足部创伤症、超限负荷、足部肌肉韧带软弱等病史。②足部纵弓塌陷,足底扁平。足跟外翻,行或久站易感疲乏、疼痛和压痛。③足印检查无弓状缺损区,并确定平足型及程度。④X线片显示足纵弓塌陷,跗跖骨轴线关系改变。

治疗方法都有哪些?
治疗一、穿定制的足弓垫
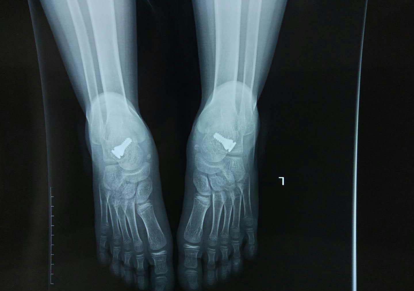
治疗二、微创手术,放置距下关节稳定器,适合于6岁以上儿童,成人也可以使用。
治疗三、石膏矫形,次数多,还需要一次手术,效果不满意的比较多
距下关节稳定器虽然贵,却是治疗平足症的终极武器!

标签:
180
如何改善皮肤粗糙(注意饮食十分重要) 有的人的皮肤第一眼看感觉不错,但是却不能细看,细看之后会觉得毛孔粗大、皮肤粗糙,甚至还会伴随着特别干燥或者特别出油的现象。 皮...
100
红茶和绿茶哪个好(买茶叶,挑“红茶”还是“绿茶”?营养差别大,学会可别再买 错了) 茶叶提神醒脑,是许多人午后提神必备的饮品之一。而市面上最为常见的茶叶就是红茶和绿茶了...
238
光波炉使用方法教程(用光波炉做蛋挞,步骤详细告诉你,层层酥脆,简单易学) 蛋挞应该是大多数人都喜欢吃的甜品吧,它色泽金黄,外皮酥脆,内里柔软,咬一口还有浓浓的奶香味...
138
超级短的暖人心的句子(80句温暖人心的优美句子) 自律且努力,别让生活太安逸。 及时止损,及时行乐。 事情想做就不要拖。 善良,温柔努力提升自己比指望他人要可靠。 保持罗曼...
131
有哪些好听的老歌推荐(80首好听的80年代90年代的经典老歌推荐) 01.大海 02.天路 03.再回首 04.突然的自我 05.甘心情愿 06.光辉岁月 07.雨蝶 08.爱拼才会赢 09.单身情歌 10.千年等一回 《新...
160
虾做法大全家常(教你7种虾的家常做法,每一道都拿得出手,美味任你选择) 盐水虾 食材: 虾、生姜、葱 八角、香叶、小茴香 桂皮、食盐、鲜酱油 步骤: 1、将虾线挑出后用清水冲...
136
威胁英语怎么说(威胁英语怎么说?威胁英语单词?) 威胁英语单词: Threaten 释义:扬言要;威胁;恐吓;预示凶兆;有…危险;危及;对…构成威胁 音标:英 [ˈθretn] 美 [ˈθretn] Menace 释义:...
89
生核桃的功效与作用 新鲜核桃一天吃几个最好 一般情况下,虽然新鲜核桃含有丰富的营养物质,具有很好的食用价值,但是,也不能过多食用,不然也会容易引起身体不适。那么 新鲜...
134
烤面筋酱料的秘制配方 ,学会了可以直接摆摊或者开店,值得收藏! 近些年来,随着人们生活水平的逐步提高,外面出现了各种琳琅满目的小吃,尤其是烧烤,非常受到大家的欢迎,...
192
乳方 回奶了怎么追奶最有效 回奶后如何增加奶量 回奶了怎么追奶最有效?回奶后如何增加奶量?女性在产后会有奶水提供给宝宝吃,奶水是宝宝食物的来源,一般在宝宝发育到一定阶...
127
平平仄仄平平仄是什么意思(七绝中的“平平仄仄平平仄”到底是什么意思,如何 应用写诗?) 七绝是近体格律诗中的一种体式,是严格遵守平仄格律的。 “平平仄仄平平仄” 是一种...
67
治疗失眠的中药 失眠别发愁,这十味中药让你一觉到天亮 睡眠,占据了人一生中三分之一的时间。而在中国,超过三亿人正在经历睡眠障碍,越来越多的人正在成为睡觉的弱势群体。...
145
无座是什么意思 相信大家都有乘坐火车、高铁出行的经历。很多人也曾经向我表示,坐高铁要比坐普通的火车要舒服的多,因为高铁上不仅人员少,而且座位也很宽敞。但是每到节假日...
208
水煮牛肉要不要先腌制,厨师长告诉你煮生牛肉的正确方法,香辣鲜嫩又下饭 今天和大家分享一道“ 水煮牛肉 ”家常做法,牛肉滑嫩,汤汁麻辣鲜香,有喜欢的赶紧学习一下。 食材:...
77
佳能600d和60d的区别 数码相机的“前世今生” 学习人像摄影的第一课:从认识数码相机开始。小编我整理了有关数码相机的有关资料,欢迎你前来学习。 数码相机 1839年,法国人达盖尔...
68
二建考试科目都有哪些呢(二级建造师考试科目都有哪些?二建证书有什么用?) 二级建造师考试科目都有哪些?二建证书有什么用? 建造师执业资格制度起源于英国,迄今已有150余年历...
151
电脑键盘用不了了怎么办(电脑键盘失灵怎么办?你应该学会的四种方法) 电脑键盘失灵怎么办?现在很多网友在使用电脑办公的时候都会遇到电脑键盘失灵的问题,其实电脑键盘失灵...
135
2018抖音最热歌曲大全(2018年抖音最火的音乐排行榜,你听了几首?) 2、歌曲:星球坠落—-歌手:艾热 / 李佳隆《星球坠落》是李佳隆、艾热在综艺节目《中国新说唱》中演唱的歌曲...
185
降脂 血脂高,别急着吃药!为你总结:5个方法降血脂,不用吃药也能降 “谁会想到,眼睛上的黄色颗粒是高血脂的早期症状。” 45岁的陈玲是武汉光谷一家公司的办公室主任,前些天...
96
贾元春为什么被处死哪(贾元春为何被皇帝下旨赐死,贾家发生什么事?恨无常曲 子解开答案) 贾元春的曲子叫[恨无常],“恨”在哪里,又有什么“无常”的?这要从贾元春的人...