眼睛的结构 第一讲(2)眼睛的解剖结构
看到下面一张图片,您能说出几个眼睛的结构呢,可以让孩子也来看看。

下面我们介绍一下
眼睛中跟近视防控相关的解剖名词
角膜
瞳孔
晶状体
睫状肌
玻璃体
视网膜
脉络膜
巩膜
眼轴
找一找
对照着这些名词,咱们去上图上看看能否找到,找到之后,可以问孩子这么一个问题,
你知道这些结构都发挥什么作用吗?
不知道也没关系,
今天赵小刀就给你解释清楚。
角膜
:在眼球最前方,往前突出,作用类似于照相机的表盖,有一定弯曲度,是一个透镜
瞳孔
:紧随角膜之后,作用类似于照相机的光圈,通过虹膜的收缩舒张控制大小
晶状体
:眼球中唯一可以自由活动的结构,是一个可以变焦的镜头,被睫状肌牵拉着,悬掉在眼球的中央。
玻璃体
:一个跟粘鼻涕一样的水球,主要成分是水,起到支撑作用
视网膜
:由眼睛的感光细胞组成,包含视锥细胞,视感细胞,非常薄的一层,类似于照相机的底片
脉络膜
:一层血管膜,负责给眼睛供血供氧,承接视网膜与巩膜
巩膜
:富含结缔组织与胶原蛋白,眼球之所以呈现一个实心的球体,就是靠巩膜维持硬度的,类似于外轮胎。
眼轴
:眼球的前后径距离,与近视密切相关
光学眼轴
:从角膜前表面到视网膜的距离
解剖眼轴
:从角膜前表面到巩膜的距离

眼底照相
+
眼球的整体结构了解了之后,我们看一下眼底的图片

里面有非常丰富的血管,中间亮点位置叫做视盘,血管从这里插入到眼睛中,神经也是通过这个位置链接到大脑的,右边一点的位置叫做黄斑,这是一个结构名称,不是疾病,要与雀斑,老年斑等疾病中的“斑”区分开来。

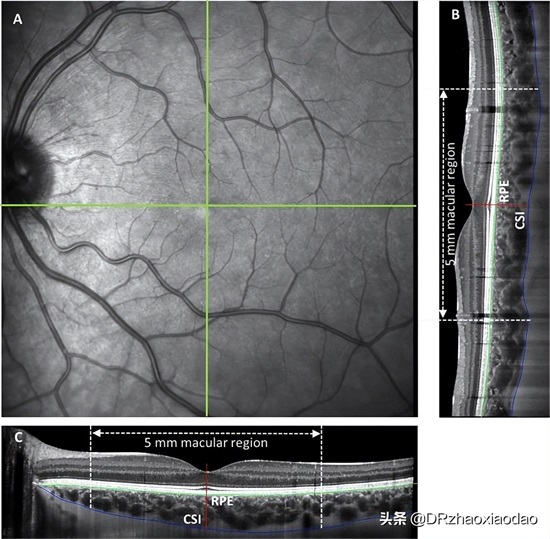
下图展示一位白化病患者脉络膜情况,视网膜内层色素细胞无色素,所以呈现出如下的状态。血管网状的结构是脉络膜,黄白色的结构是巩膜。

用OCT做断层扫描后,成像如下:

B图中最左边是视网膜,
中间是脉络膜,
最右侧是巩膜。
标签:
157
滋色气垫bb霜好用吗(滋色zeesea气垫好用吗) BB霜的流行已经从单纯的BB霜到气垫BB霜了!但其实BB霜这么收到欢迎,有一部分也算是炒作出来的!BB的全名是Blemish Balm,简单说就是以前的遮...
127
怎样买基金才能稳赚钱(基金如何稳赚方法) 基金已成为做理财的投资者的常见选项之一,买基金的人群也越来越广泛,另外,买基金的渠道也越来越丰富,以往要基金公司开户或银行渠...
194
如何做花灯(图文讲解最简单的花灯制作方法) 准备材料:水彩,画纸,食用油,玻璃瓶,蜡烛。 老师们想必都带孩子试过华德福的招牌湿水彩(湿水彩的画法详细请见变幻的色彩,...
68
哪些水果含糖量高不适合孕妇吃(哪些水果糖分高不适合孕妇吃) 你好,三诺讲糖很高兴回答你的问题! 根据问题不能确定您只是血糖偏高还是已经患有妊娠糖尿病,其实不论您是否患有...
56
毒品“神仙水”成分是什么啊? 神仙水是什么啊?一起来看看小编整理的资料: 一、两大特点: ①、 隐蔽性非常强 : 只需将“神仙水”与可乐等饮料混合即可饮用,饮用后令人异常亢...
121
吵架女朋友说为什么不找她 在 恋爱 关系中,吵架是难免的。当女朋友生气时,她可能会问你一个问题:“为什么不找我?”这个问题似乎很简单,但背后却蕴含着深刻的意义。下面将...
54
西凤t30年份封藏多少钱一瓶,西凤t30年份封藏价格 西凤酒作为中国白酒的代表之一,一直以来都备受酒友的青睐。而其中的经典系列——西凤T30年份封藏,则更是以其独特的酒香和品质...
62
取暖器哪种加热方式好? 导语:暖风机即强制通风式取暖器,此类产品利用取暖器内的风机将室内的冷空气从进气口吸入,流经电热元件加热升温后再由排气口送出热风,从而达到加热...
156
馃敟绌烘皵鐐搁攨瀹濊棌鍗婃垚鍝佹帹鑽愨潡锔忎翰娴嬪法濂藉悆 馃挮鍦e啘楦¤倝娲嬭懕鍦堬紙29.9RMB/200g锛?/p 杩藉墽灏忛浂椋燂紝瓒呯骇瑙i 馃懇馃徎鈥嶐煃冲仛娉曪細鏃犻渶瑙...
188
给情人早安问候语简短一句话(发给爱人的早安说说) 第一,没有什么特别的愿望或者理想,就是想吃你做的早餐和晚餐,听听你说的话。 第二,遇到对的人之后,是你在眼角,你在...
147
被一个已婚男人骗了他在法律上的 被已婚男骗了五年,发现了真相怎么办? 绿蔷薇观点: 第一种:协商解决 如果你不想继续与他纠缠,那就尽快结束这场错误。 如果你的目的是想要...
75
子宫内膜炎特征表现 子宫内膜炎的特点 子宫是女性体内特有的器官,也是胎儿生长发育的场所。而子宫内膜指的是生长于子宫内内侧的一层组织,会随着月经的周期性变化而脱落,也...
60
谁吃了爱因斯坦的脑袋(谁吃了爱因斯坦的脑袋啊) 最近,许多网友对 谁吃了爱因斯坦的脑袋 产生疑问。当然也有一部分网友想弄明白关于谁吃了爱因斯坦的脑袋啊,(www)已经为你...
107
行走的鹿由器是什么意思 鹿由器是什么意思 鹿由器属于网络恶搞语言的一种,原本的路由器变味成鹿由器。路由器大家都懂。那么,鹿由器是什么意思?鹿由器是什么梗? 鹿由器是什...
92
挽回老婆感情最有效的方法(挽回感情挽救婚姻的3个方法) 说到挽回感情,挽救婚姻,让我想起了《大话西游》中的一段经典台词,曾经有一份真挚的感情摆在我面前,我没有好好珍...
70
马梓豪的微博(非常完美马梓豪的微博) 马梓豪的微博,发现他已经结婚了,妻子是一名模特,两人在一起已经有三年了,这段感情一直很低调,从来没有公开过。马梓豪的老婆名叫王佳...
194
LOL四大恐怖皮肤:旧版至死不渝,竟是个丧尸 恐怖游戏因为自带“吓跑玩家”的属性,从始至终在游戏界都是小众类型。对于喜欢LOL的玩家来说,PVP对战爱好者应该很少有喜欢这类游戏...
69
怎样炖排骨藕汤?莲藕排骨汤的做法,排骨酥烂口感润滑,超好喝 一说莲藕汤,相信大家的第一反应都是莲藕排骨汤,但排骨汤毕竟是肉汤 多喝长胖也不健康,所以试试看素汤 清甜咸...
186
高血糖吃什么好 你一定要知道的几种食物 高血糖的患者应该吃什么好?患者可以多吃粗粮,多喝水,吃点麦麸、魔芋、豆腐等等。 很多高血糖或者是糖尿病患者会问,血糖高应该吃什...
52
抓阄什么意思 你知道“抓阄”的由来吗?它有两个版本,这种做法公平吗? 在民间,无论大事小情,但凡棘手的难题都选择抓阄来决定。抓阄,是指每人从预先做好记号的纸卷或纸团...